Phone No.

+91 7470546633

Mail Id.

rathorenakul123@gmail.com
  • Home
  • About Us
  • Specializations
    • Brain & Neurovascular Surgeries
      • Brain Tumor Surgery
      • Skull Base Tumor Surgery
      • Neurovascular Surgery (Aneurysm, AVM, Carotid Surgery)
      • Endovascular Neurosurgery (Diagnostic & Therapeutic Interventions)
      • Stroke Surgery & Thrombectomy
      • Traumatic Brain Injury Surgery (Clot Evacuation, Decompression)
      • Pituitary Tumor Surgery (Endoscopic approach)
      • Hydrocephalus Surgery (VP Shunt / ETV)
      • Epilepsy Surgery
      • Functional Neurosurgery (DBS for Parkinson’s & Movement Disorders)
    • Spine Surgeries
      • Minimally Invasive Spine Surgery (MISS)
      • Endoscopic & Microscopic Discectomy (Slip Disc Surgery)
      • Laminectomy / Decompression for Spinal Stenosis
      • Spinal Fusion Surgery
      • Cervical & Lumbar Spine Surgeries
      • Spinal Trauma & Stabilization
      • Spinal Tumor Surgery
    • Peripheral Nerve Surgeries
      • Carpal Tunnel Release
      • Ulnar Nerve Decompression
      • Peripheral Nerve Repair & Grafting
  • Affiliations & OPDs
    • Hospital Affiliations
    • OPD Schedule
  • Gallery
    • Images
    • Videos
  • Contact Us
Book AppointmentBook Appointment

Images

  • Home
  • Dr. Nakul Rathore

Minimally invasive Transforaminal lumbar interbody fusion in a case of potts spine.
Postop Stable

65 year female with old trauma with claudication pain.
Microscopic microlumbar L1L2 Diskectomy done.

Fixation in a case of scoliosis

ACOM. aneurysm clipped

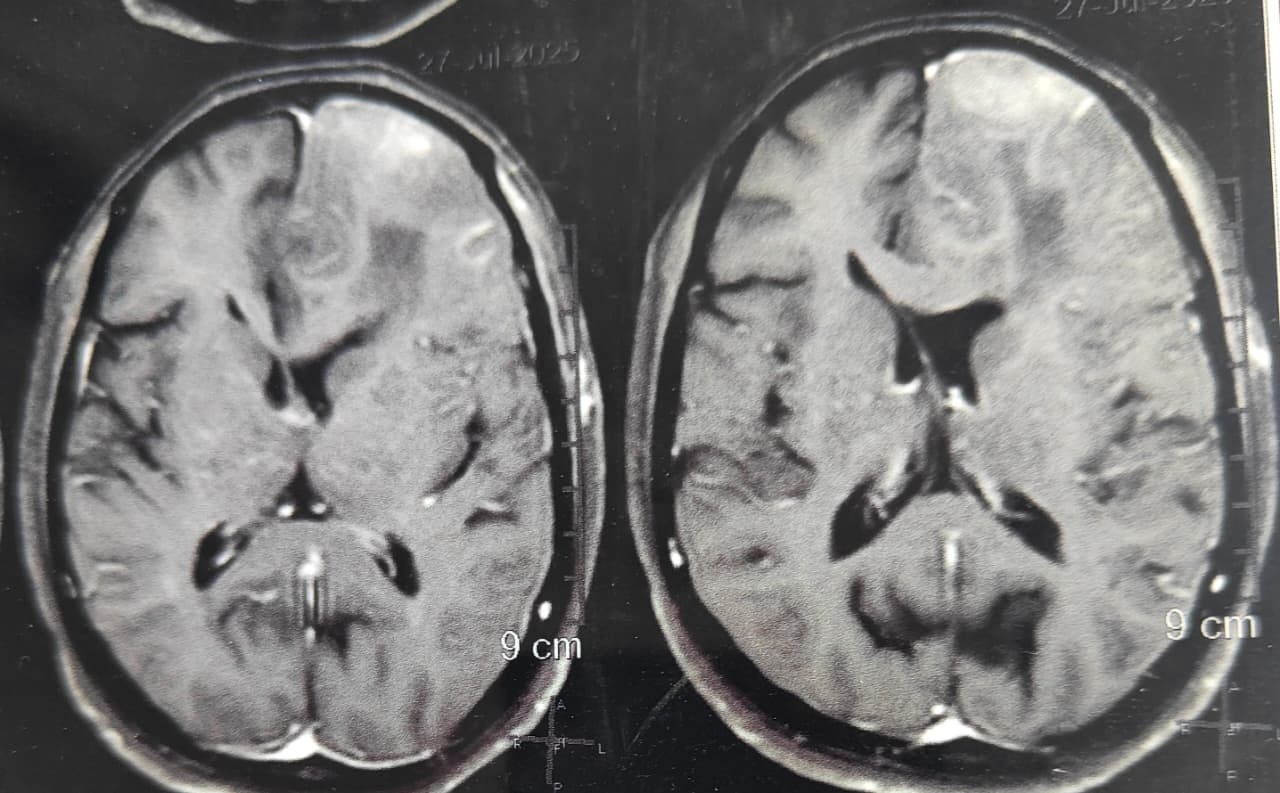
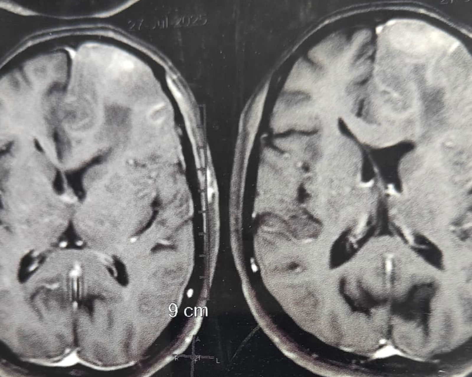
Frontal low grade glioma Excised

Dorsal spine fixation in a case of potts spine

Pituitary tumors completely excised

C1C2 Fixation

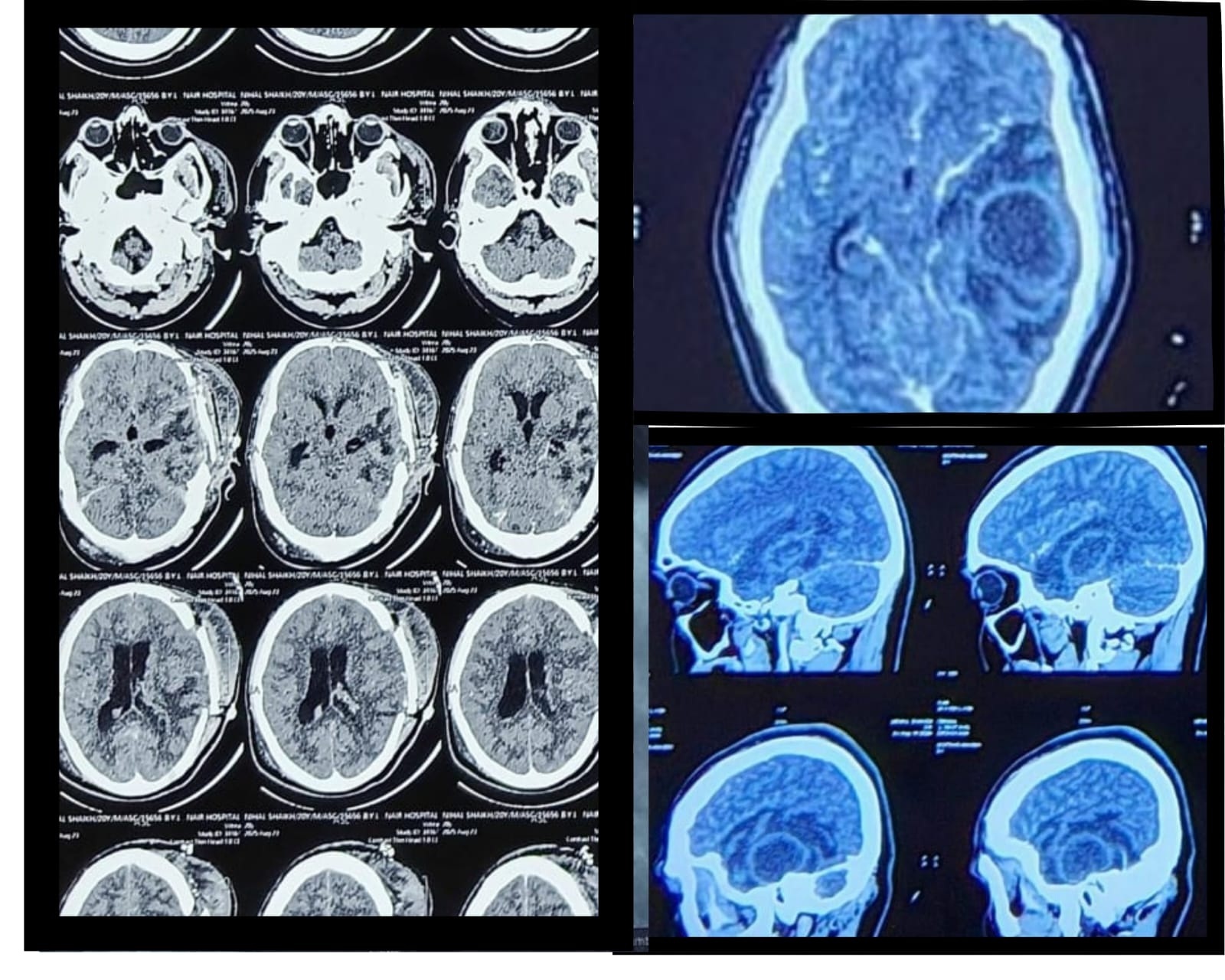
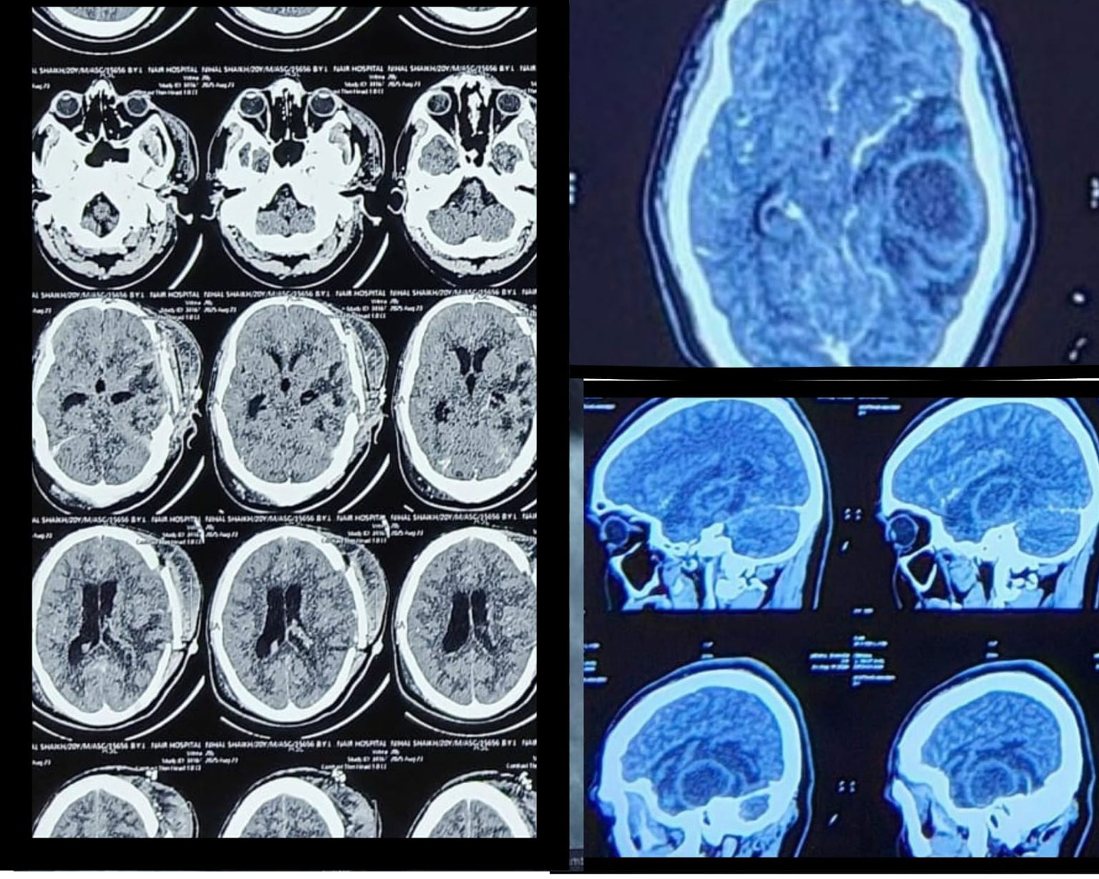
Brain abscess excised completely

Completely open of ICA block followed by Stenting

Chronic SDH managed by Burr hole craniostomy

EDH evacuation

Potts spine with complete transection of cord

Scalp tumor excision

Thecoperitoneal shunt in a case of BIH

Cervical spine fixation in a case male child

Lumbar listhesis with L5S1 fixation done

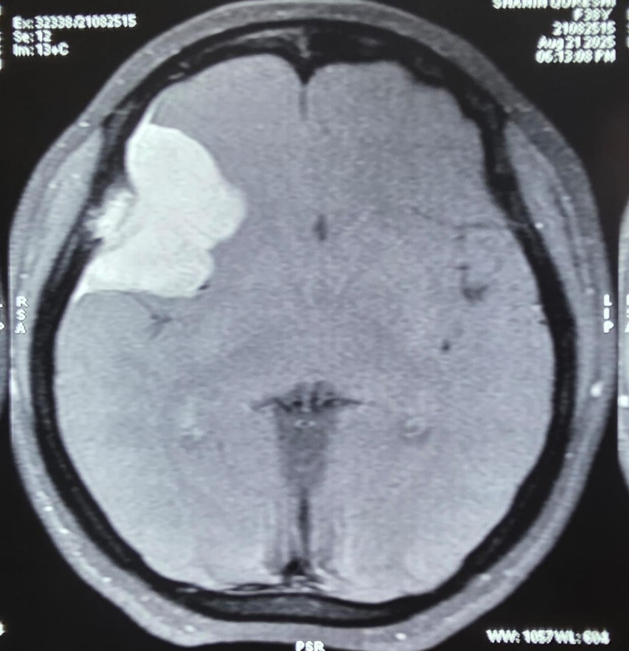
Convexity meningioma excised completely

Two level cervical spine fixation

One level cervical spine fusion

One level lumbar fusion

ICA Stenting

ICA Stenting

ICA Stenting

Brain & Neurovascular Surgeries

  • Brain Tumor Surgery
  • Skull Base Tumor Surgery
  • Neurovascular Surgery (Aneurysm, AVM, Carotid Surgery)
  • Endovascular Neurosurgery (Diagnostic & Therapeutic Interventions)
  • Stroke Surgery & Thrombectomy
  • Traumatic Brain Injury Surgery (Clot Evacuation, Decompression)
  • Pituitary Tumor Surgery (Endoscopic approach)
  • Hydrocephalus Surgery (VP Shunt / ETV)
  • Epilepsy Surgery
  • Functional Neurosurgery (DBS for Parkinson’s & Movement Disorders)
  • Important Links

Spine Surgeries

  • Minimally Invasive Spine Surgery (MISS)
  • Endoscopic & Microscopic Discectomy (Slip Disc Surgery)
  • Laminectomy / Decompression for Spinal Stenosis
  • Spinal Fusion Surgery
  • Cervical & Lumbar Spine Surgeries
  • Spinal Trauma & Stabilization
  • Spinal Tumor Surgery

Contact Us

Sant Savata Mali Marg, Near Byculla, Mustafa Bazar, Byculla, Mumbai, Maharashtra 400027

+91 7470546633

rathorenakul123@gmail.com

© Copyright Dr. Nakul Rathore All Rights Reserved.